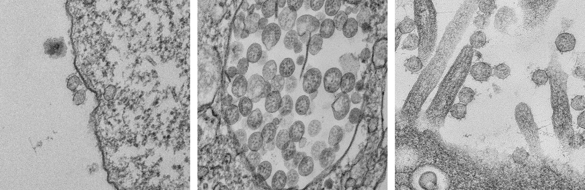
Last week, Andreia Pinto from the Royal Brompton hospital shared the results of her lab imaging SARS-covid... using UA-Zero!
It was stained simply with 1% osmium and ready-to-use UA-Zero.
UA-Zero is non-radioactive, Uranium-free and a direct Uranyl Acetate substitute. No additional processing is required and there are no handling, storage or disposal restrictions.
Thank you Andreia, for your hard work and your images.




