UA-Zero® EM Stain is a patented solution developed as a direct replacement for Uranyl Acetate. UA-Zero does not contain any radioactive material and is non-toxic. UA-Zero can be used as a direct substitute for Uranyl Acetate with no changes to standard user protocols.
UA-Zero is supplied in an opaque dropper bottle, which should be stored long-term in the lab fridge at around 4°C. For daily use, the sealed bottle can be stored in normal laboratory conditions away from direct sunlight.
It has been shown that UA-Zero EM Stain works very well for various protocols that specify Uranyl Acetate as a staining solution for TEM sample preparation in life science. This application note describes one example of a protocol for preparing samples and subsequent imaging using TEM. Uranyl Acetate and UA-Zero EM stain were directly compared and the images generated are shown in the Results section.

Staining the sample on a TEM grid, with a support film, requires just a few simple steps before drying.
Protocol used for TEM sample preparation
All steps performed at room temperature unless otherwise stated. Parts of the same sample have been stained using UA-Zero EM Stain and Uranyl Acetate, for direct comparison.
Fixation
| 1. 2.5% glutaraldehyde (AGR1012) in 0.1M cacodylate buffer | Days** |
| 2. 0.1M cacodylate (AGR1105) washes | 3 x 10 mins |
| 3. 1% OsO4 (AGR1021) in 0.1M cacodylate buffer | 1 hour |
| 4. 0.1M cacodylate washes | 3 x 10 mins |
| 5. Deionised water | 2 x 5 mins |
Staining
| 6a. UA-Zero EM Stain in 20% ethanol | 1 hour |
| 6b. 3% Uranyl Acetate in water | 1 hour |
| 7. Deionised water | 2 x 10 mins |
Dehydration
| 8. 70% ethanol | 10 mins |
| 9. 80% ethanol | 10 mins |
| 10. 90% ethanol | 10 mins |
| 11. 100% ethanol | 3 x 20 mins |
| 12. Propylene oxide | 2 x 5 mins |
Infiltration
| 13. Propylene oxide: 'Epon' Resin mix*, 1:1 | 3.5 hours |
| 14. 'Epon' Resin Mix | Overnight |
| 15. 'Epon' Resin Mix | ~ 6 hours |
Embedding
| 13. In 'Epon' Resin cure at 60°C | 2 days |
Sections cut and picked up on pioloform copper slot grids. No further staining of sections.
*‘Epon’ type resin mix:
- 24g AGR1045 Agar 100 Resin
- 16g AGR1053 DDSA (Dodecenyl Succinic Anhydride) EM grade redistilled
- 10g AGR1083 MNA (Methyl Nadic Anhydride) redistilled
- 1.5g AGR1062 BDMA (Benzyl Dimethylamine)
** Length of fixation time not known precisely as the sample was prepared from a control tissue used for another study (can be days to weeks, tissue stored in the fixation solution at 4°C).
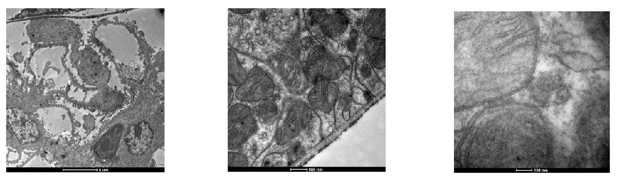
Results
TEM images of sample prepared using UA-Zero EM Stain in 20% ethanol as staining solution:

TEM images of sample prepared using 3% Uranyl Acetate in water as staining solution:

Samples prepared and imaged courtesy of Prof. Dr. Paul Verkade and Dr. Chris Neal, Wolfson Bioimaging Facility, School of Medical Sciences, University of Bristol.



