
UA-Zero is non-radioactive, non-toxic and can be used as a direct replacement to Uranyl Acetate without any changes to standard user protocols.
With the help of Professor Dr. Paul Verde and Dr. Chris Neal from the Wolfson Bioimaging Facility, School of Medical Sciences at the University of Bristol, we have written 4 application notes (so far!) to describe examples of protocols for preparing samples and subsequent imaging using TEM.
This application note is the fixation, staining and processing of HeLA* cell pellets from a culture dish. Uranyl Acetate and UA-Zero were directly compared and the images generated will be shown later on in this blog post.
*HeLa cells are derived from cervical cancer cells taken on February 8th, 1951 from Henrietta Lacks, nowadays being the oldest and most commonly used human cell line in scientific research.
Staining
Staining the sample on a TEM grid with a support film requires just a few simple steps before drying, shown in the images below:

Protocol used for TEM sample preparation
All steps within this protocol are to be performed at room temperature unless otherwise stated.
- Fixation: 1.5% glutaraldehyde in 0.1M cacodylate buffer (1 hour)
- Remove cells to Eppendorf tubes – spin down scraped off cells into cell and supernatant
- 1.5% glutaraldehyde in 0.1M cacodylate buffer at 4°C (Overnight)
- 0.1M cacodylate washes (3 x 10 mins)
- 2% OsO4 (AGR1021) in 0.1M cacodylate buffer (1 hour)
- 0.1M cacodylate washes (3 x 10 mins)
- Deionised water (2 x 5 mins)
- Staining: UA-Zero EM Stain in 20% ethanol / 3% Uranyl Acetate in water (1 hour)
- Deionise water (2 x 5 mins)
- Dehydration: 70% ethanol (10 mins)
- 80% ethanol (10 mins)
- 90% ethanol (10 mins)
- 100% ethanol (3 x 20 mins)
- Propylene oxide (2 x 15 mins)
- Infiltration: Propylene oxide: ‘Epon’ Resin mix*, 1:1 (3.5 hours)
- ‘Epon’ Resin mix (overnight)
- ‘Epon’ Resin mix (~ 6 hours)
- Embedding: in ‘Epon’ Resin cure at 60°C (2 days)
- Sections cut and picked up on pioloform copper slot grids. No further staining of sections.
*’Epon’ type resin mix:
- 24g AGR1045
- 16g AGR1053 DDSA (Dodecenyl Succinic Anhydride)
- 10g AGR1083 MNA (Methyl Nadic Anhydride) distilled
- 1.5g AGR1062 BDMA (Benzyl Dimethylamine)
Results
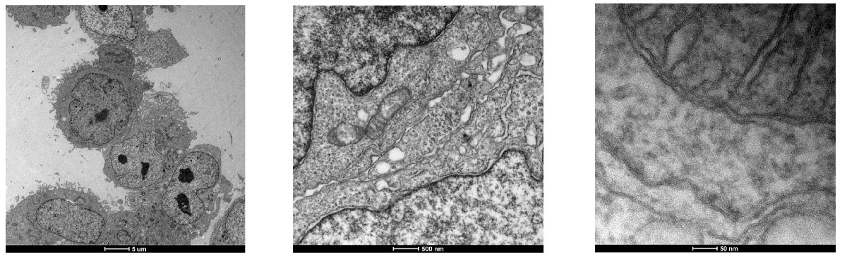
TEM images of the sample prepared using UA-Zero EM Stain in 20% ethanol as staining solution:

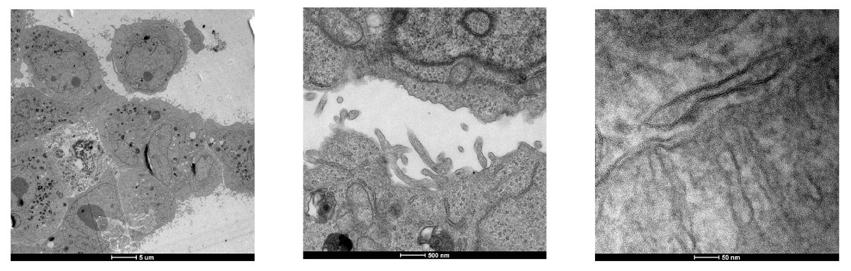
TEM images of sample prepared using 3% Uranyl Acetate in water as staining solution:

Read the full application note here.



